पत्थरों की चमक के पीछे छिपी जानलेवा सच्चाई:एम्स भोपाल में पहली बार फेफड़ों की ‘धुलाई’ से बची जान, सिलिकोसिस से पीड़ित था मरीज

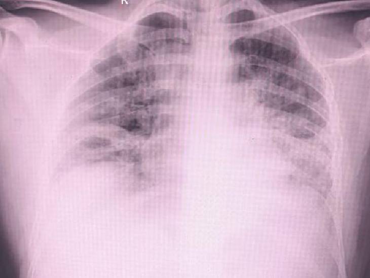
पत्थर, सीमेंट और निर्माण से जुड़ी दुनिया जितनी मजबूत दिखती है, उतनी ही कमजोर जिंदगियां उसके पीछे काम कर रही होती हैं। इन्हीं जिंदगियों को धीरे-धीरे निगल लेने वाली एक खामोश और जानलेवा बीमारी है सिलिकोसिस। यह ऐसी बीमारी है, जिसमें फेफड़े धीरे-धीरे पत्थर जैसे सख्त हो जाते हैं और मरीज को सांस लेना भी भारी पड़ने लगता है। इसका कोई स्थायी इलाज नहीं है और अक्सर यह बीमारी तब सामने आती है, जब हालात काबू से बाहर हो चुके होते हैं। ऐसा ही एक मामला हाल ही में एम्स भोपाल में सामने आया, जहां स्टोन क्रशर में काम करने वाला एक मजदूर गंभीर हालत में भर्ती हुआ। उसकी सांसें उखड़ रही थीं और जांच में पता चला कि दोनों फेफड़ों में खाक जैसे प्रोटीन की मोटी परत जम चुकी है। हालत इतनी नाजुक थी कि समय पर इलाज न मिलता तो उसकी जान भी जा सकती थी। ऐसे में एम्स भोपाल ने एक जटिल और दुर्लभ प्रक्रिया अपनाकर मरीज को नई सांस दी।
एम्स भोपाल में मध्य भारत की पहल
एम्स भोपाल के डॉक्टरों ने इस मरीज के इलाज के लिए ‘होल लंग्स लैवेज’ नाम की अत्यंत जटिल प्रक्रिया को अंजाम दिया। इस प्रक्रिया में फेफड़ों के अंदर जमा प्रोटीन और धूल को सलाइन वाटर से धोकर बाहर निकाला जाता है। एम्स प्रबंधन के अनुसार, मध्य भारत में यह पहला मौका है, जब सिलिकोसिस से प्रभावित फेफड़ों में जमे प्रोटीन को इस तकनीक से सफलतापूर्वक साफ किया गया हो।
डॉक्टरों का कहना है कि यह सिर्फ एक मरीज का इलाज नहीं, बल्कि उन हजारों मजदूरों के लिए उम्मीद की किरण है, जो रोजाना पत्थरों और धूल के बीच काम करते हुए अपनी सांसें दांव पर लगा देते हैं।

स्टोन क्रशर की धूल ने बिगाड़ी हालत एम्स के पल्मोनोलॉजी विभाग के प्रोफेसर डॉ. अल्केश खुराना और असिस्टेंट प्रोफेसर डॉ. अभिनव खुराना ने बताया कि मरीज लंबे समय से स्टोन क्रशर में काम कर रहा था। वहां उड़ने वाली बारीक सिलिका धूल सांस के साथ उसके फेफड़ों में पहुंचती रही और धीरे-धीरे वहां जमती चली गई।
इस स्थिति को मेडिकल भाषा में डिफ्यूज एल्वियोलर प्रोटीनोसिस कहा जाता है। इसमें फेफड़ों की हवा वाली थैलियों में प्रोटीन भर जाता है, जिससे ऑक्सीजन का आदान-प्रदान रुकने लगता है। यही कारण था कि मरीज को सांस लेने में अत्यधिक परेशानी हो रही थी और उसका ऑक्सीजन स्तर लगातार गिरता जा रहा था।
6 घंटे चली बेहद जोखिमभरी प्रक्रिया डॉ. खुराना के अनुसार, होल लंग्स लैवेज एक बेहद जटिल और जोखिमभरी प्रक्रिया है। इसमें फेफड़ों के अंदर 6 से 8 लीटर तक सलाइन वाटर डाला जाता है और फिर उसे बाहर निकाला जाता है, ताकि जमा प्रोटीन साफ हो सके।
यह प्रक्रिया इसलिए भी खतरनाक होती है क्योंकि ज्यादा मात्रा में पानी फेफड़ों में जाने से मरीज की जान को सीधा खतरा हो सकता है। इसी वजह से पूरी प्रक्रिया को अत्यंत सावधानी के साथ करीब 6 घंटे में पूरा किया गया। डॉक्टरों की एक पूरी टीम लगातार मरीज के ऑक्सीजन स्तर, हृदय गति और ब्लड प्रेशर पर नजर रखे हुए थी।

कार्डियक ओटी में हुआ ऑपरेशन इस जटिल प्रक्रिया को कार्डियक ओटी में किया गया, जिसमें कार्डियक थोरेसिक सर्जन डॉ. योगेश निवारिया भी शामिल थे। उन्होंने बताया कि इस इलाज की सबसे बड़ी चुनौती यह थी कि जब एक फेफड़े को साफ किया जा रहा होता है, तब मरीज को दूसरे फेफड़े के सहारे ही सांस लेनी पड़ती है।
इस मरीज के मामले में मुश्किल और बढ़ गई थी, क्योंकि दूसरा फेफड़ा भी काफी कमजोर हो चुका था। ऐसे हालात में कई बार मरीज को हार्ट-लंग मशीन यानी आर्टिफिशियल लंग्स पर रखना पड़ता है। हालांकि, डॉक्टरों की सतर्कता और सही रणनीति के चलते इस मरीज को मशीन पर डालने की जरूरत नहीं पड़ी और प्रक्रिया सफलतापूर्वक पूरी हो गई।
क्या है सिलिकोसिस और क्यों है यह जानलेवा सिलिकोसिस सिलिका नामक बेहद बारीक धूल के कणों से होने वाली बीमारी है। ये कण सांस के साथ फेफड़ों में पहुंच जाते हैं और वहां जमा होकर फेफड़ों की कोमल झिल्लियों को नुकसान पहुंचाते हैं। धीरे-धीरे फेफड़े स्पंज जैसे नरम रहने के बजाय पत्थर की तरह सख्त हो जाते हैं।
जैसे-जैसे बीमारी बढ़ती है, मरीज को सांस लेने में तकलीफ, लगातार खांसी, थकान और ऑक्सीजन की कमी महसूस होने लगती है। अंतिम चरण में शरीर को पर्याप्त ऑक्सीजन नहीं मिल पाती और मरीज की मौत तक हो सकती है।
मजदूर सबसे ज्यादा चपेट में सिलिकोसिस का सबसे बड़ा शिकार वे मजदूर होते हैं, जो खदानों, स्टोन क्रशर, पत्थर की पाउडर मिलों, सीमेंट फैक्ट्रियों और कांच-सिरेमिक उद्योगों में काम करते हैं। इनमें से ज्यादातर मजदूर गरीब तबके से आते हैं और सुरक्षा उपकरणों की कमी या जानकारी के अभाव में इस जानलेवा धूल के संपर्क में रहते हैं।
डॉक्टरों का कहना है कि सिलिकोसिस से बचाव ही सबसे बड़ा इलाज है। इसके लिए कार्यस्थलों पर धूल नियंत्रण, मास्क और नियमित स्वास्थ्य जांच बेहद जरूरी है।



